Menu

DNA-MOOC: From structure to therapy -
(massive open online course) project with Jacobs University Bremen

In April 2014, our MOOC: DNA - from structure to therapy has started for the first time on the iversity.org platform. A complete university entry level course offered free of charge. On this page we post additional quizzes and other material not compatible with the iversity platform. After the course closes on the iversity platform, this page and the videos on iversity will remain accessible. The next course period on iversity is planned for the fall semester.

The course is not online in 2020.

 

DNA MOOC: Funny outtake videos

InCelligence* Prof. Sebastian Springer

Sometimes its good to practise things of which you once thought you could just do them as always.

start outtake 1 ...

InCelligence* Dr. Nicole Kühl gummi bear experiment

It is always worth to start recording as early as possible because so many funny things happen. This applies especially to experimental settings.

start outtake 1 ...

start outtake 2 ...

start outtake 3 ...

InCelligence* PCR Mycoplasma kit

Labwork in general is fun. These are some of the funniest moments during the recording of the PCR experiment for the MOOC chapter on DNA methods.

start outtake 2 ...

 

DNA MOOC: Teaser e-learning content element videos

To give you an idea how all this will look, we have posted some low-resolution versions of our videos here. The course in total has about 80 3-8min units organized into 6 chapters:

Chapter 1 Introduction to the course
Chapter 2 DNA carries the genetic information
Chapter 3 The race to discovery of DNA structure
Chapter 4 DNA Replication and PCR
Chapter 5 Transcription, translation and therapy
Chapter 6 Trying to cure a genetic disease

1. e-learning: Introductory unit to e-learning module

The videos you see below are taken from various chapters.
 

From Chapter 2:  
InCelligence* Susanne Illenberger and Sebastian Springer DNA structure video

Intro session
Each chapter of the MOOC course will start with - what we call it- a motivational sequence. This is an example of how we imagine them to look like. Here, Susanne Illenberger and Sebastian Springer talk about DNA stability which might make DNA the next storage medium for important data. Thereby, they try to convince students that DNA structure which confers stability is something that is important and therefore, a whole chapter is centered around structure.

start video...

InCelligence* Dr. Nicole Kühl Spemann experiment

Hans Spemann's Experiment:

In this short whiteboard video sequence, Nicole Kühl explains one of the fundamental experiments of Hans Spemann. He was the first one to prove that the cell nucleus is needed for cell division.

start video...

ViCoMic Mouse section

Cells, tissues and sizes:

In this video we got through a microsection of a young mouse. Thereby, we try to get a feeling for sizes of organs, tissues, cells and organelles. We used the vicomic.de platform to record this video.

start video...

Cell Mitosis

Mitosis:
Mitosis is the fundamental process of cell division in which - after dupilation of the genetic material - a cell divides into two identical daughter cells. Besides being a crucial process however, it also is one of the most beautiful and fascinating processes. See for yourself!

start video...

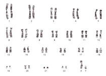
Karyogram male

Karyograms:
As you have seen in the mistosis video, before cell division, the DNA is strongly condensed and forms chromosomes. These can be isolated and stained which allows diagnosis of certain genetic defects of is used to identify cell lines for reaserch purposes.

start video...

InCelligence* Dr. Nicole Kühl Miescher experiment

Friedrich Miescher's experiments:
In this medium length whiteboard and ppt video sequence, one of the fundamental experiments of Friedrich Miescher is explained. He was the first one to isolate a substance he called nuclein and to analyze it biochemically. Nuclein is called DNA today.

start video...

JUB students isolating DNA

DNA isolation experiment:
Watch some of the JUB 1st year students isolate large amounts of DNA from pea seedlings. This is one of the rare occasions where you will get to really see DNA.

start video...

From chapter 3:  
InCelligence* Susanne Illenberger and Jürgen Fritz picture 51 Rosalind Franklin

Performing the X-experiment
In this 10min lab video, Dr. Susanne Illenbergerg and Prof. Jürgen Fritz from Jacobs University Bremen explain how Rosalind Franklin retrieved information about DNA structure from her famous "picture 51" X-ray diffraction pattern. This image made it possible for Watson and Crick to develop their DNA helix which was awarded with the Noble prize later.

start video...

InCelligence* Susanne Illenberger from Jacobs University telling: the race is on- a science thriller

The race is on: a science thriller
Someone told us, there are people out there who think: DNA is boring and structure is even worse! Especially for them, here comes: "The race is on - a science thriller".

This is a low resolution draft version.

start video...

From chapter 4:  
Mycoplasma PCR Kit PromoKine Video

PCR experiment in the lab (mycoplasma detection)
See how a mycoplasma PCR is performed in the lab using a PromoKine Mycoplasma kit. Besides that, encounter Can, Andrei and Ulla who are BCCB 3rd year students at Jacobs and have a laugh with them.

start video...

PCR nexus

PCR-based diagnosis:
PCR is a really indispensable method for research and diagnostic purposes. It is fast, reliable and very cheap compüared to other methods. Here we show some examples how and where PCR is used as a diagnostic tool.

start video...

From chapter 5:  
Translation model

Translational questions:
Our section on translation has many units, these are the last ones, recapitulating translation and discussing the therapeutic approach of translational read-through.

start video 1...

 

InCelligence* Dr. Nicole Kühl gummi bear experiment

Cellular metabolism: energy generation

With this really nice experiment we want to explain how energy can be set free from nutrients.

start video ...

 

DNA MOOC: Links to resources and background material

 Here is our growing collection of links to materials that have proven helpful for participants in our first course:

 

Thanks to Chapter Topic
SI all University level books:

Principles of Biochemistry, 5/E (or earlier)
Laurence A. Moran, Robert A Horton, Gray Scrimgeour, Marc Perry,
ISBN-10: 0321707338 • ISBN-13: 9780321707338
©2012 • Prentice Hall • Cloth, 832 pp

Essential Cell Biology,3rd ed.
Bruce Alberts, Dennis Bray, Karen Hopkin, Alexander D Johnson, Julian Lewis, Martin Raff, Keith Roberts, Peter Walter
ISBN 9780815341291
March 27, 2009

NK all http://www.hhmi.org/biointeractive/dna/animations.html
DNA Animations: Replication, Transcription, Translation, Sequencing
Mona all Link collection of the NIH concerning genes and medicine
NK 2 Unit: Cells, tissues and sizes
This is the link to the Vicomic platform we used to generate the video.
 
NK 2 http://www.ibiblio.org/virtualcell/index.htm 
A virtual tour through the cell.
 
NK 2 Units on Miescher and nuclein:
A paper on Miescher's research and how he found nuclein (=DNA) can be read on Science direct.
Cintia 2 DNA basics on structure and function, some experiments outlined.
SI 2 Units on Flemming and mitosis:
More information on Flemming and his original drawings can be found on one page of the Dietzel lab.
Hossein 2 Hershey/Chase experiment and homework:
DNA strcuture, bases and Hershey/Chase experiment,images on  phages attaching to a bacterium, the experiment etc.
Original paperWikipedia explanationOverview on lifescience foundationAlfred Hershey vitainspiring experiments summary,, summary on Princton page, results explanation
  2 Hershey/Chase experiment
NK 3 Unit: Chargaff's rules
A collection of Chargaff's papers, photographs and much more can be found in the archives of the Am. Phil. Society.
SI 3 Units about Rosalind's X:
Reprinted by permission from Macmillan Publishers Ltd:
R. Franklin and R. G. Gosling, “Molecular configuration in sodium thymonucleate,”
Nature 171, 740–741 (April 25, 1953)
Only accessible with Nature subscription.
Juliane 3 Nature paper on Watson and CrickWilkins and Rosalind Franklin.
Manar 3 DNA basics
Laurence Fang 3+5 Why uracil instead of thymine ? 
Manar 3+5 Uracil
NK 4 Units about PCR and PCR as a diagnostic tool:On these pages of eMedicine several articles can be found that explain the method of PCR aswell as why and how physicians use PCR in diagnosis.
Sawar 4 DNA fingerpriting and STR analysis pdf by J.M: Butler
Laurence Fang 6 More background information and animation on cystic fibrosis can be found on the pages of CFTR Science.
NK 6 Background on cystic fibrosis:
in a pdf document designed by X-plain to explain the disease to patients who suffer from it.
Laurence Fang all The Emporer of all Maldies: a biography of cancer
is book about the history of cancer research. This is the link to its Wiki page.
Peter before or after the course After the course you might want to look into other MOOCs, egg.:
An Intro to biology:
Peter, one of our participants says about this EdX course:"I can only say, MITs Intro to bio is the best MOOC I took so far, its rigorous, but duable and it uses 3d molecular models, gen cards and modelling soft, take it, its well worth it, its fun and uses more varied media then any other MOOC I took so far. Its an undergraduate intro. but MIT uses the same questions as on campus, but the exams are not closed book, after all its the net. It has lab vids, and some test questions involve interpreting gels, also it asks to look at 3d proteins and identify certain important atoms and bonds, then there is soft like foldit! which helps to understand protein folding, it has a chemical content, but there is also classical genetics, and of course, DNA. He definitely does not seem to be alone with this opinion as you can read in this blog comment.
Marinelle before or after The effects of diet on genetic integrity of children.

 

 

Background information on the course and the certificate

DNA MOOC: Course content

The course has 6 chapters in total:
  • We start off with the question, how we inherit information.
  • How and where is the genetic information stored? Who found the answers and how did they actually do that in the 19th century ?
  • From there, we look at why structure is so important and how structural information helps us to understand processes such as replication, transcription and translation.
  • Following research strategies and recapitulaing famous experiments will help us to understand how therapeutic strategies may be developed.
  • During our journey, we come across cells, cell division and cancer, transcription and new antibiotics, translation, ribosomes and and therapeutic strategies such as aminoglycoside read-through for treatment of cystic fibrosis.
DNA molecule

 

DNA MOOC: Language and level

The course language is English.
With some high school knowledge in biology and chemistry you will be able to follow the course.

The course has 6 chapters:

Chapter 1 Introduction to the course
Chapter 2 DNA carries the genetic information
Chapter 3 The race to discovery of DNA structure
Chapter 4 DNA Replication and PCR
Chapter 5 Transcription, translation and therapy
Chapter 6 Trying to cure a genetic disease

DNA MOOC: How to participate

In order to follow the course, you have to register on the iversity.org platform. In response to that, Iversity will send you an e-mail with a link that you have to click in order to activate your acount. Registration is only possible during the official course periods. After these periods have finishes, the contents remain online for users already registered but not for others. The next planned course period is in fall 2014.

DNA MOOC: Modes of participation

On iversity, you may just watch the MOOC videos and take the quizzes to gather an understanding of the contents (passive participation) or you may take the complete course and do the quizzes which will allow you to receive a certificate of participation. Homeworks are voluntary and do not count towards the progress needed for the certificate. Important notifications will be send to you using the e-mail adress you provided for registration. Other information might be posted in the forum.

DNA MOOC: Certificate = Statement of participation

In order to sucessfully finish the course and to receive the certificate which at the moment is only a statement of participation not a statement of accomplishment, you have to have a general progress of 80% on the videos and quizzes on iversity. The homeworks are voluntary and do not count towards the progress. Latest after the official end of the course, the certificate is released by the instructors and you will be generally notified by an e-mail that the download from the chapter page of the course is possible. All participants will receive this mail, however, download is only visible and possible for those who have acchieved the 80% progress.

 

Wir nutzen Cookies auf unserer Website. Einige von ihnen sind essenziell für den Betrieb der Seite, während andere uns helfen, diese Website und die Nutzererfahrung zu verbessern (Tracking Cookies). Sie können selbst entscheiden, ob Sie die Cookies zulassen möchten. Bitte beachten Sie, dass bei einer Ablehnung womöglich nicht mehr alle Funktionalitäten der Seite zur Verfügung stehen.